Вопрос о том, виден ли рак на флюорографии, является одним из наиболее часто задаваемых, и это крайне важная тема для понимания возможностей данного метода диагностики. Флюорография – это рентгенологическое исследование, которое позволяет получить уменьшенное изображение органов грудной клетки. Она традиционно используется в качестве скринингового метода для массовых обследований населения на туберкулез и другие заболевания легких.
Что флюорография может показать, а что нет
Флюорография способна выявить некоторые признаки рака легких, но ее чувствительность и специфичность для ранней диагностики онкологических заболеваний ограничены.
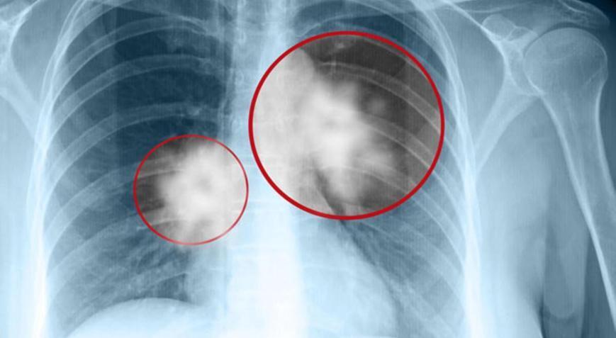
- Крупные новообразования: Флюорография, особенно пленочная, лучше всего "видит" крупные опухоли, как правило, уже на поздних стадиях развития. Если опухоль достигает размера 1 см и более, шансы ее обнаружения значительно возрастают. Рак легких на флюорографии может проявляться как уплотнение (тень), часто с нечеткими, "лучистыми" краями, или как шаровидное образование. Также могут быть заметны изменения в корнях легких или увеличенные лимфатические узлы.
- Периферический рак: Коварство периферического рака легкого, который развивается на периферии легкого, заключается в том, что он может долгое время расти без симптомов и оставаться незаметным на флюорографии, особенно если опухоль небольшого размера (до 5 мм).
- Ранние стадии: Флюорография не является оптимальным методом для выявления рака легких на самых ранних стадиях (например, стадии T1N0M0, когда опухоль очень мала и не дала метастазов). В таких случаях ее информативность значительно ниже. Симптомы рака легких на ранних стадиях часто отсутствуют, что делает его выявление сложным.
Почему флюорография не всегда эффективна для ранней диагностики рака
Существует несколько причин, по которым флюорография имеет ограничения в обнаружении рака легких на ранних этапах:
- Низкое разрешение изображения: По сравнению с обычной рентгенографией или, тем более, компьютерной томографией (КТ), флюорографическое изображение имеет более низкое разрешение. Это означает, что мелкие детали и небольшие изменения в тканях легких могут быть неразличимы.
- Уменьшенное изображение: На флюорограмме изображение грудной клетки уменьшено, что также снижает детализацию.
- Наложение структур: На снимке все структуры грудной клетки (ребра, сердце, крупные сосуды, диафрагма) накладываются друг на друга. Опухоль, особенно если она расположена за сердцем, крупными сосудами, ребрами или вблизи диафрагмы, может быть скрыта от обзора.
- Локализация опухоли: Центральный рак легких, развивающийся в крупных бронхах, может быть труднее обнаружить на флюорографии на ранних стадиях, если он не вызывает значительного сужения просвета бронха или ателектаза (спадения) легочной ткани.
Более информативные методы диагностики рака легких
Для более точной и ранней диагностики рака легких используются другие, более чувствительные методы:
- Низкодозная компьютерная томография (НДКТ) легких: Считается "золотым стандартом" скрининга рака легких, особенно для групп риска (например, курильщиков со стажем). НДКТ позволяет получить послойные изображения легких с высоким разрешением, выявляя опухоли размером от 2 мм. Это значительно повышает шансы на раннее обнаружение и успешное лечение. Многие исследования показали, что скрининг с использованием НДКТ может снизить смертность от рака легких.
- Рентгенография органов грудной клетки (обзорная рентгенография): Хотя и более информативна, чем флюорография, за счет большего размера снимка и лучшей детализации, все же уступает КТ в точности выявления мелких образований. Рак легких на рентгене выявляется примерно в 80% случаев.
- Бронхоскопия: Метод, позволяющий непосредственно осмотреть внутреннюю поверхность бронхов с помощью специального инструмента, взять биопсию подозрительных участков. Особенно эффективен для диагностики центрального рака.
- Биопсия: Единственный метод, который позволяет поставить окончательный диагноз рака, так как исследуется образец ткани опухоли под микроскопом. Биопсия может проводиться под контролем КТ или УЗИ.
- ПЭТ-КТ (позитронно-эмиссионная томография, совмещенная с КТ): Используется для определения точных размеров опухоли, ее распространения и выявления метастазов в других органах.
- Анализ мокроты на атипичные клетки: Может быть полезен, особенно при центральном раке, но имеет ограниченную чувствительность.
- Анализ крови на онкомаркеры: Не являются специфичными для рака легких и используются скорее для мониторинга эффективности лечения, чем для первичной диагностики.
Роль флюорографии в современном здравоохранении
Несмотря на свои ограничения в ранней диагностике рака легких, флюорография остается важным методом скрининга. Она хорошо справляется с выявлением туберкулеза, воспалительных процессов (пневмоний) и других объемных образований в легких. Если на флюорограмме обнаруживаются какие-либо подозрительные изменения, пациент обязательно направляется на дообследование, как правило, на компьютерную томографию или рентгенографию в нескольких проекциях.
Таким образом, на вопрос "Виден ли рак на флюорографии?" можно ответить: да, виден, но не всегда, и чаще всего это уже достаточно крупные опухоли. Для раннего выявления рака легких, когда шансы на успешное лечение максимальны, необходимо использовать более чувствительные методы, в первую очередь низкодозную КТ, особенно для людей из группы риска.
В медицинском центре "Томакс" мы предлагаем современные методы диагностики, включая рентген и КТ челюстно-лицевой области, КТ пазух носа, а также флюорографию. Наши специалисты всегда готовы провести необходимые исследования и дать экспертное заключение.
Если у вас есть подозрения или вопросы по поводу здоровья легких, не откладывайте визит к врачу. Записаться на прием можно по телефону: +7 (3462) 77-42-32 или на нашем сайте: tomaks.ru.
Адрес для проведения флюорографии и рентгена: г. Сургут, ул. Тюменский тракт 6, 2 этаж, Центр пластической хирургии.
