Что лучше: панорамный снимок или КТ зубов? Полный обзор методов диагностики
В современной стоматологии для точной диагностики заболеваний зубов и челюстно-лицевой области используется широкий спектр методов лучевой диагностики. Среди них наиболее распространенными являются панорамный снимок (ортопантомограмма, ОПТГ) и компьютерная томография (КТ) зубов. Часто пациенты задаются вопросом: что же выбрать? Чтобы ответить на этот вопрос, необходимо глубоко разобраться в особенностях каждого метода, их преимуществах, недостатках и показаниях к применению.
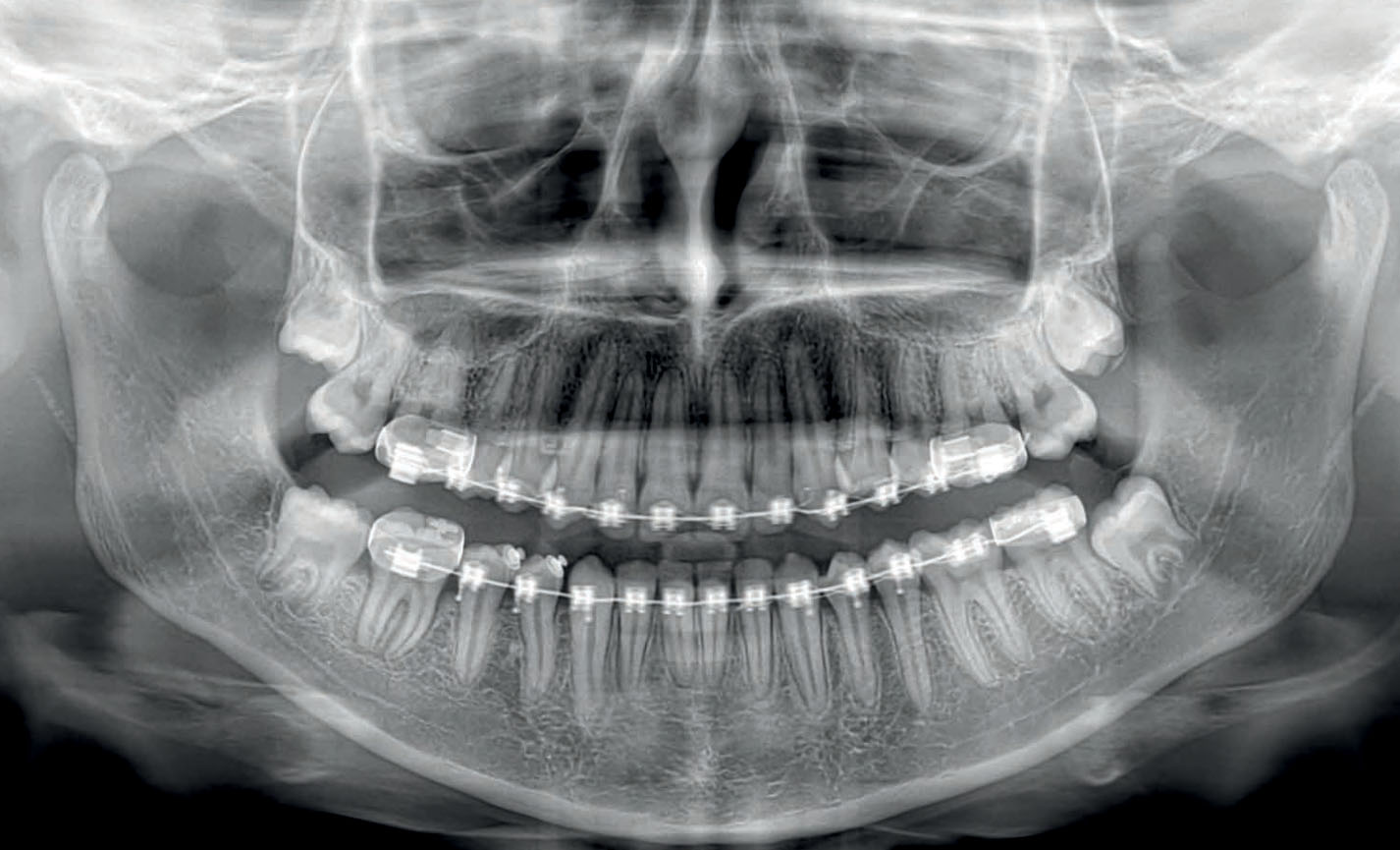
Панорамный снимок зубов (ОПТГ): Обзорная картина
Панорамный снимок представляет собой двухмерное (плоское) изображение всей зубочелюстной системы. Он позволяет получить общую картину состояния верхних и нижних челюстей, всех зубов, включая те, что находятся в процессе прорезывания, а также окружающих тканей, таких как височно-нижнечелюстные суставы (ВНЧС) и гайморовы пазухи. Это быстрое и относительно недорогое исследование, которое зачастую является первым шагом в диагностике.
Преимущества панорамного снимка:
Основные преимущества ОПТГ заключаются в его доступности, быстроте выполнения и невысокой лучевой нагрузке. Процедура занимает всего несколько секунд, что очень удобно для пациентов. На одном снимке врач видит общую картину, что позволяет оценить симметрию челюстей, наличие кариеса, воспалительных процессов в костной ткани (периодонтит, кисты), состояние пародонтальных тканей и предвидеть возможные проблемы с прорезыванием зубов, особенно у детей и подростков. Это особенно важно при планировании ортодонтического лечения или перед началом обширных стоматологических работ. Панорамный снимок также помогает выявить скрытые очаги инфекции, которые могут не проявляться симптомами.
Недостатки панорамного снимка:
Несмотря на все достоинства, панорамный снимок имеет ряд ограничений. Поскольку изображение двухмерное, возникает эффект наложения структур, что может привести к искажениям и затруднить точную оценку мелких деталей. Например, на ОПТГ сложно увидеть мелкие трещины в зубах, начальные стадии кариеса под пломбой или определить точное количество и изгиб корневых каналов. Также панорамный снимок не дает полной информации о плотности костной ткани, что критически важно при планировании имплантации.
Компьютерная томография (КТ) зубов: Трехмерная точность
Компьютерная томография – это значительно более совершенный метод диагностики, который позволяет получить трехмерное (3D) изображение зубочелюстной системы. С помощью КТ врач может рассмотреть исследуемую область под любым углом, создавать виртуальные срезы тканей, что дает беспрецедентную детализацию и точность. Специализированные дентальные томографы обладают минимальной лучевой нагрузкой и при этом обеспечивают максимально информативные снимки.
Преимущества компьютерной томографии:
Главное преимущество КТ – это колоссальный объем информации. Трехмерное изображение позволяет увидеть то, что невозможно рассмотреть на обычном двухмерном снимке. КТ незаменима для:
- Имплантации: Точное определение объема и плотности костной ткани, ее толщины и высоты, расположение важных анатомических структур (нервы, сосуды, гайморовы пазухи) позволяет спланировать установку имплантатов с максимальной точностью, исключая риски повреждений и обеспечивая долгосрочный успех.
- Эндодонтического лечения: Детальное изучение анатомии корневых каналов, их количества, изгибов, наличия дополнительных каналов, а также оценка качества пломбировки и выявление скрытых воспалительных процессов.
- Ортодонтии: Точная оценка положения зубов в кости, аномалий прикуса, планирование перемещения зубов и контроль результатов лечения.
- Хирургических вмешательств: Выявление ретинированных (непрорезавшихся) зубов, определение их точного положения и планирование удаления, оценка травм челюстно-лицевой области (переломы).
- Диагностики скрытых патологий: Обнаружение кист, опухолей, скрытого кариеса, периодонтита, оценка состояния гайморовых пазух и ВНЧС с высокой точностью.
КТ обеспечивает изображение в масштабе 1:1, что исключает проекционные искажения и позволяет врачу планировать лечение с максимальной предсказуемостью.
Недостатки компьютерной томографии:
К недостаткам КТ можно отнести чуть более высокую стоимость по сравнению с панорамным снимком. Хотя современные дентальные томографы имеют очень низкую лучевую нагрузку, она все же несколько выше, чем у ОПТГ. Как правило, КТ назначается при наличии конкретных показаний, требующих детальной трехмерной визуализации.
Так что же лучше?
Ответ на вопрос "что лучше: панорамный снимок или КТ зубов?" не так однозначен и зависит от конкретной клинической ситуации.
- Панорамный снимок идеален для первичной диагностики, общего скрининга состояния зубов и челюстей, оценки прикуса и выявления явных патологий. Это отличный инструмент для быстрого получения обзорной информации.
- Компьютерная томография незаменима, когда требуется максимально точная и детальная информация о состоянии костных и мягких тканей, особенно перед сложными стоматологическими вмешательствами, такими как имплантация, лечение корневых каналов, удаление ретинированных зубов или при диагностике неясных болевых синдромов.
Часто стоматолог может назначить оба исследования: сначала панорамный снимок для общей оценки, а затем, если возникнут вопросы или потребуется более глубокая детализация, – КТ. Важно понимать, что каждый из этих методов имеет свою нишу и дополняет друг друга, обеспечивая комплексный подход к диагностике и лечению.
В медицинском центре "Томакс" в Сургуте мы предлагаем современные методы диагностики зубочелюстной системы. У нас вы можете пройти как панорамный снимок (ОПТГ), так и КТ челюстно-лицевой области на новейшем оборудовании. Наши специалисты обладают высокой квалификацией и точно интерпретируют результаты исследований, что позволяет поставить правильный диагноз и составить эффективный план лечения.
Если вам необходима точная диагностика зубов и челюстей, не откладывайте визит к специалисту. Для записи на панорамный снимок или КТ челюстно-лицевой области в медцентре "Томакс" звоните по телефону: +7 (3462) 77-42-32 или посетите наш сайт tomaks.ru.
Наши адреса:
- Рентген и маммография: г. Сургут, ул. Тюменский тракт 6, 2 этаж, Центр пластической хирургии.
- Челюстно-лицевая томография (КТ): Сургут, ул. 30 лет Победы 44Б (1-й этаж), кабинет 110, БЦ "Север".
Позаботьтесь о своем здоровье вместе с "Томакс"!
