3D-снимок вместо слепка: как КТ челюсти меняет правила игры в протезировании и имплантации зубов в Сургуте
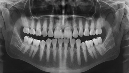
Современная стоматология в Сургуте стремительно уходит от традиционных методов, которые десятилетиями вызывали у пациентов дискомфорт. Еще недавно процедура снятия слепков была обязательным и зачастую неприятным этапом подготовки к протезированию или имплантации. Однако сегодня на смену вязким массам и громоздким ложкам пришла компьютерная томография челюстно-лицевой области. Использование КТ челюсти в диагностике позволяет получить безупречно точную трехмерную модель зубочелюстной системы, что кардинально меняет подход к планированию сложных операций. Цифровые технологии гарантируют исключение человеческого фактора на этапе сбора данных, обеспечивая идеальную посадку будущих коронок или имплантатов.
Почему КТ челюстно-лицевой области превосходит традиционные слепки
Главная проблема классических слепков заключается в их подверженности деформации. Гипс или силикон могут давать усадку, а малейшее движение пациента во время застывания массы приводит к погрешностям. В вопросах имплантации зубов в Сургуте, где точность измеряется долями миллиметра, такие ошибки недопустимы. Компьютерная томография, выполняемая в медицинском центре «Томакс», предоставляет врачу исчерпывающую информацию не только о коронковой части зуба, но и о состоянии костной ткани, расположении нервных каналов и придаточных пазух носа. Это позволяет создать виртуальный двойник челюсти пациента, на котором можно заранее «прорепетировать» установку имплантата, выбрав оптимальный угол и глубину погружения.
Безопасность и комфорт пациента при проведении 3D-диагностики
Многие пациенты опасаются лучевой нагрузки, однако современное оборудование для КТ челюсти в Сургуте работает по принципу конусно-лучевого сканирования. Данная технология характеризуется минимальным уровнем облучения, который сопоставим с несколькими часами полета на самолете. При этом информативность снимка в десятки раз выше, чем у обычного плоскостного рентгена или ОПТГ. Процедура занимает считанные секунды, не вызывает рвотного рефлекса и не требует специальной подготовки. Для жителей Сургута это означает возможность пройти качественное обследование быстро и в максимально комфортных условиях, получив на руки детальный цифровой результат, который примет любой высококвалифицированный имплантолог или ортопед.
Точное планирование имплантации зубов с помощью КТ
Успех имплантации напрямую зависит от объема и качества костной ткани. Обычный слепок не дает представления о том, что скрыто под десной. КТ челюстно-лицевой области позволяет хирургу-имплантологу оценить плотность кости и близость гайморовых пазух. Если планируется имплантация на верхней челюсти, данные томографии помогут определить необходимость проведения синус-лифтинга. Благодаря 3D-снимку врач может изготовить навигационный шаблон — специальное устройство, которое направляет сверло и имплантат точно в запланированное место. Это делает операцию менее травматичной, сокращает время реабилитации и практически сводит к нулю риск отторжения из-за неправильной установки.
Роль компьютерной томографии в эстетическом протезировании
В ортопедической стоматологии КТ челюсти помогает добиться идеальной эстетики и функциональности. При создании виниров или мостовидных протезов важно учитывать особенности прикуса и височно-нижнечелюстного сустава. Трехмерное сканирование дает возможность оценить работу суставов в динамике, что предотвращает появление сколов керамики или дискомфорта при жевании в будущем. Пациенты в Сургуте все чаще выбирают безметалловую керамику и циркониевые коронки, изготовление которых требует цифровой точности. Интеграция данных КТ в зуботехническую лабораторию позволяет создавать протезы, которые ощущаются как собственные зубы с первого дня установки.
Где сделать качественное КТ челюсти в Сургуте
Если вы планируете качественное протезирование или имплантацию, первым шагом должна стать экспертная диагностика. Медицинский центр «Томакс» предлагает жителям Сургута пройти челюстно-лицевую томографию на современном оборудовании. Наши специалисты гарантируют высокое разрешение снимков, что критически важно для врачей-стоматологов при постановке диагноза и составлении плана лечения. Мы приглашаем вас воспользоваться преимуществами цифровой медицины и записаться на исследование, которое сэкономит ваше время и обеспечит долговечный результат стоматологических манипуляций. Наш центр обеспечивает индивидуальный подход и строгое соблюдение медицинских протоколов.
Записаться на КТ челюстно-лицевой области или другие виды диагностики вы можете по телефону: +7 (3462) 77-42-32.
Наш официальный сайт: tomaks.ru
Наши адреса в Сургуте:
- Челюстно-лицевая томография (КТ): ул. 30 лет Победы 44Б (1-й этаж), кабинет 110, БЦ «Север».
- Рентген, маммография, флюорография: ул. Тюменский тракт 6, 2 этаж, Центр пластической хирургии.
